新科技 找回牙周病患自信笑容
來源:http://edn.udn.com/news/print.jsp?aid=624591&cid=13%27%27%27
找對專家 大暴牙也能變帥哥美女!
潘韞珊醫師表示,大暴牙如不想開刀,要達到完美的微笑曲線,必須有兩個步驟:
1.微創瓦力雷射牙齦修正術:現在最方便的牙齦增生骨骼修整(簡稱牙齦整形),不需要大費周章的住院開刀,而是透過瓦力雷射同時做軟硬組織的修正,以取代進開刀房承擔全身麻醉的風險,且在幾乎在無痛的狀況下完成治療,上午做完,下午就可正常生活,這是潘韞珊醫師整合出來的一套美齒重塑技術。
2.晶透全瓷冠:等到牙齦組織長好了,暴牙問題也解決70%,接下來是更改牙齒的角度再套上訂做好的晶透全瓷冠,即大功告成。這部份也是患者能否真的變美、變好看的關鍵。因為牙齒的形態,透明感是否大小適中、排列是否協調、讓人看不出哪顆是假牙,都跟醫生的觀察力與美感有很大關係。
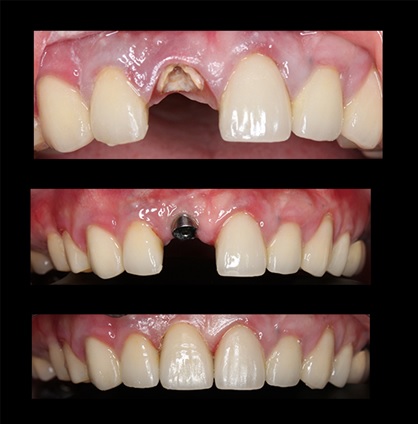
用水雷射微創植牙 10分鐘搞定
「只要患者的條件夠好,植牙是很成熟、很簡單的事,尤其水雷射應用在微創植牙上是很安全的治療方式。」魔法牙醫潘韞珊院長很自信地說。
用水雷射做微創植牙只要醫師技術純熟,連傳統認為較困難的上鼻竇增高植牙手術,都可以只要用雷射開一道軟、硬組織的小孔就能在十分鐘內輕鬆完成,更別說一般植牙了。
潘韞珊院長表示,雷射微創植牙有很多好處,很多瘦瘦的、年紀大的或缺牙已久的東方人,缺牙區都會缺少角化牙齦,如用微創雷射植牙,醫師只要使用一個巧妙的手術就可以把角化牙齦移植到角化牙齦的缺乏區,讓未來產生植體周圍炎的機率大大降低,若患者真的發生植體周圍炎時,也只有水雷射輔助才可以快速、有效的讓植體周圍炎消失,恢復植體健康。
為了保持前牙美觀區的齒槽骨及牙齦高度,做即拔即種植牙手術時,有水雷射的輔助滅菌可以大幅提升成功率,讓患者免去拔牙後等待了三到四個月且多一次手術之苦,如能同時進行二階手術,更可讓患者在一次麻醉中便可做傳統的三個手術(拔牙、植體植入、二階癒合帽放上);二來可幫助醫師植入植體的位置做定位,讓植體植入位置良好,確保前牙美觀區的軟硬組織不會因植體角度不良而被吸收,使牙齦弧度及高度適中,讓人看不出哪一顆是植牙,這是由水雷射輔助而做「即拔即種」的又好處。







